|

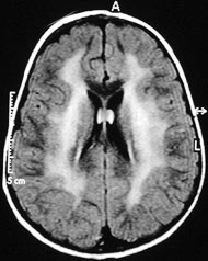
对化疗后出现严重认知障碍的癌症病人进行的大脑核磁共振成像扫描结果。
一项新的动物试验表明,3种广泛使用的化疗药物能够对健康脑细胞造成永久损伤。这项研究将有助于解释一系列统称为“化学脑”的认知问题——大约80%的癌症患者都会出现记忆力下降与紊乱以及无法集中精神等问题。并未参与此项工作的美国纽约州布法罗大学医学院儿科肿瘤学家Patricia Duffner指出:“这一发现为研究我们长期关注的问题提供了生理学基础。”
纽约州罗彻斯特大学的科学家们就3种化疗药物对神经系统产生的影响进行了研究。这3种化疗药物包括经常用于治疗乳腺癌、肺癌和结肠癌的cisplatin;用于治疗脑癌的carmustine;用于治疗白血病和某些淋巴癌的cytarabine。研究人员发现,在人体癌细胞培养液和活体实验室小鼠中,这些药物能够导致大范围的脑细胞死亡,即便在较低药物剂量下也是如此。在细胞培养液中,能够杀死40%到80%癌细胞的药物剂量同时也能够造成70%甚至100%的健康脑细胞死亡。研究小组在11月30日出版的《生物学杂志》上报告了这
< 1 > < 2 >
|