欢迎您:登录 | 注册
科普之友首页
※您现在的位置: 科普之友 >> 生命科学 >> 生物*医学 >> 正文  

美国男子成首名无心人:离心泵取代心脏无脉搏

来源:新浪科技       更新时间:2012-2-8 11:28:16
 
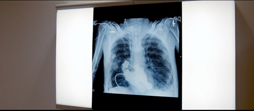
被植入病人体内的离心泵被植入病人体内的离心泵 两位美国医生证明了没有心脏人照样可以存活两位美国医生证明了没有心脏人照样可以存活 接受手术的患者接受手术的患者

  新浪科技讯 北京时间2月7日消息,两位美国医生:比利·科恩(Billy Cohn)和巴德·弗朗茨(Bud Frazier)都来自美国德克萨斯心脏研究所,日前他们两人成功地为一名垂死的患者安装了一台人工装置以替代其心脏功能。这一举动证明了,即便没有心脏,一个人也能依靠其他替代手段存活。

  在Focus Forward 影片公司制作的短片《当心脏停止跳动》当中,导演杰里米·撒加(Jeremiah Zagar)纪录下了医生们手术操作的全过程——他们在50头小牛身上进行了实验,将它们的整个心脏取出,并用一台特制的离心泵取而代之;最后医生们在一位病人——克莱格·莱维斯(Craig Lewis)身上进行了实际操作。这个离心泵装置有点像是一台涡扇,装有简单的转子结构。这台装置并不会像心脏那样跳动,其目标是像花园里的浇水管一样提供“连续不断的血流”。

  在对一头小牛进行实验之后,科恩说:“如果你用听诊器听听它的胸腔,你不会听到心跳声。如果你观察它的动脉,你也观察不到脉搏。如果你对它进行心电图检查,你会看到一条直线。”

  病人克莱格·莱维斯今年55岁,由于患有淀粉样变性而生命垂危,这种病会导致异常蛋白质不断累积。这些蛋白质会阻塞器官组织,造成它们无法正常工作。但在手术之后,病人的心脏被“机器”替代。莱维斯的血液继续在他的体内循环流动。

  然而当医生们用听诊器听他的胸腔时,却听不到心跳声,有的只是轻微的嗡嗡声而已。因此,如果按照传统的医学分析方法,这位病人已经没有心跳,因而已经死亡了。这是一个例证,证明“人体的生理系统是可以没有脉搏而维持正常运行的。”(晨风)

  • 上一个生命科学:

  • 下一个生命科学:

  • 潜意识深刻影响人行为 所达效果远

    减肥品消灭脂肪细胞是谎言

    印度三姐妹都患狼人综合征 渴望获

    英国女子13年更换心肺肾 成功康复

    美科学家驳斥男性将消亡传闻:衰落

    新研究否认男人绝种论:Y染色体功

    向轮椅说再见 仿生腿问世让瘫痪者

    美科学家成功利用蛆虫治疗糖尿病

    时代周刊2010医疗类最佳发明:激

    欧美H1N1流感疫苗引并发症 已被大

    霍金对超光速粒子发现持怀疑求确

    研究:胶体软膏可将女性感染艾滋
    生物*医学
    自然地理
    普通自然地理[自然生物]英窃贼胆小如鼠 被绿色鹦鹉厉声
    普通自然地理[今日地理]流浪猫酷似伏地魔 目光犀利无人
    普通自然地理[今日地理]追火山的人:10余年拍28座活火
    普通自然地理[今日地理]“秘密文本”激起坎昆千层浪
    宇宙奥秘
    [航空航天]日本拟贷款70亿日元助越南开发
    [宇宙探索]日本太空船展开14米太阳帆成功
    [航空航天]宇宙星系壮观超级火山爆发 现象
    [宇宙探索]“嫦娥二号”卫星成功实施首次
    未解之谜
    [UFO飞碟]飞碟 ufo 录像 1视频
    [麦田怪圈]麦田怪圈隐藏真相终于大白(中文
    [UFO飞碟]UFO现身英国新闻直播 主持人并
    [未解之谜新闻]科学家首次发现银河系吞噬其它
    生命科学
    [生物*医学]美一妇女感染食肉菌 内脏几乎侵
    [生物*医学]美研究发现低胆固醇有助降低患
    [生物*医学]减肥不是想瘦就能瘦 科学家发现
    [生物*医学]美妇人双子宫都怀孕仅隔一周 几
    动物世界
    [动物世界]蜘蛛体型越小而大脑越大 巨脑赋
    [动物趣味知识]大熊猫是熊吗? 
    [动物世界]亚洲发现霸王龙新远亲 头长八只
    [动物趣味知识]养犬证明如何写 
    科普文章
    [物理资讯]解读对撞机:寻找占宇宙成分96
    [生命科学]科学家将第21种氨基酸引入线虫
    [物理资讯]能将地球一分为二的共振现象
    [地球科学]研究提出复杂地表下三维地震波
    [化学科学]一种厌氧菌可将尿液变燃料
    [数学教学教研]用问题教学法提高数学教学效率
    设为首页 | 加入收藏 | 联系我们 | 友情链接 | 使用本站前必读
    Copyright © 2007 - 2011 科普之友( www.kepu365.com ) Corporation, All Rights Reserved